X-ray
レントゲン分析による精密な骨格評価
渋谷TMJ歯科クリニックでは、提携先である「さつま骨格矯正」の施術効果を高めるため、レントゲン写真(X-ray images)の撮影を行っています。
顎関節や頭蓋骨、頸椎の位置関係を明確にすることで、施術前の状態を正確に把握できます。
医療提携による
スムーズな流れ
当院は、さつま骨格矯正 渋谷・恵比寿本院と同じ藤本ビル8階にあり、撮影後すぐにデータをお渡しできます。
撮影したレントゲン写真は、さつま骨格矯正にて詳細に分析され、施術計画の立案に活用されます。
【検査の流れ】
- 渋谷TMJ歯科クリニックでレントゲン撮影
- 撮影データをさつま骨格矯正へ提供
- さつま骨格矯正で分析・施術計画の決定
施術の前後で撮影したレントゲン写真を比較することで、改善の度合いや変化を一目で確認できます。
撮影は医療機関でのみ行い、安全性と精度を確保しています。
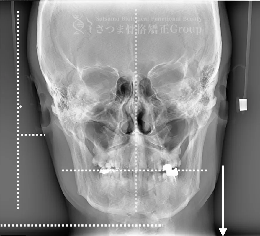
30代男性 S様 初回効果

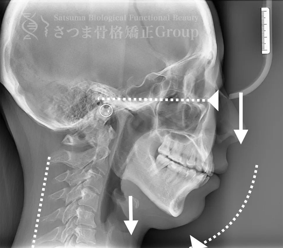
下顎に強い後方回転あり 中顔面が伸びて下方に落ちる。 中顔面の奥行きを失っている。 下顎の後方回転により上部頚椎C1、C2の可動域が狭い→椎骨動脈への刺激により交感神経が優位。
Mild jaw deformity present. Posterior rotation of the mandible. The midface is elongated and has dropped downward. Loss of depth in the midface. Cervical spine straightening (straight neck).

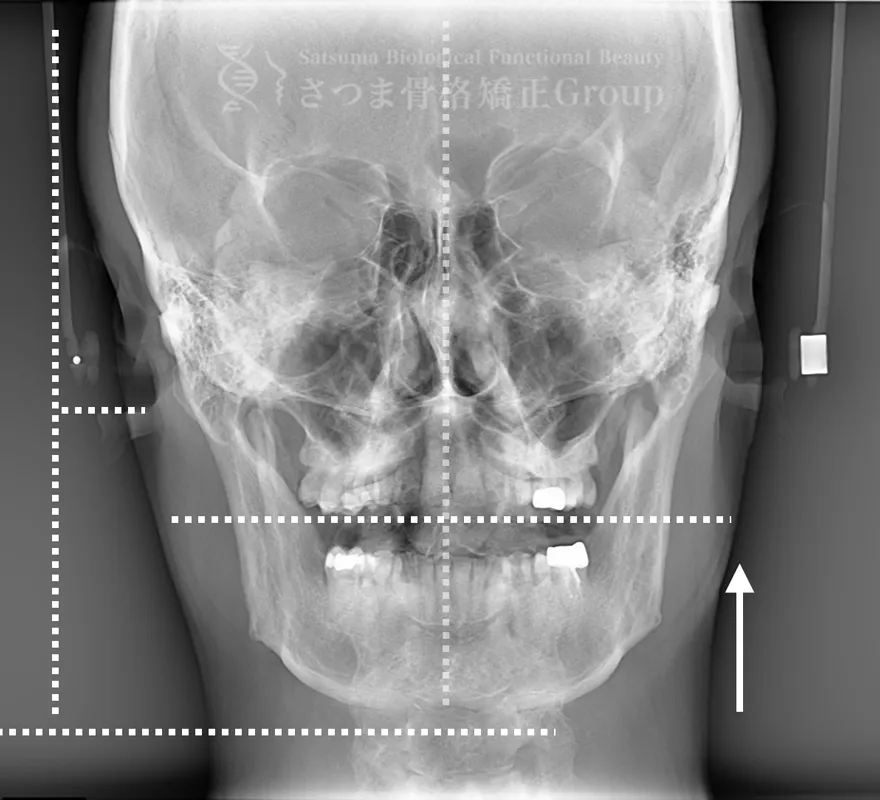
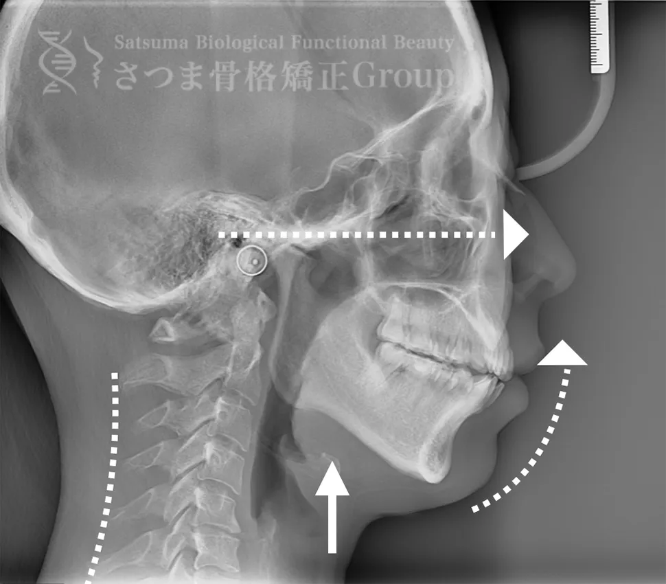
AFTER
咬筋をリリースし、下顎の牽引法により顎の前方回転位に誘導 中顔面の奥行きを作り、左右差を整顔し中顔面を短縮させ頚椎の前弯角を強化。
Release the masseter and upper cervical spine to achieve forward rotation of the jaw.
Using the Satsuma method, create depth in the midface and shorten it.
Enhance the cervical lordosis angle.

40代男性 F.K様 初回効果

下顎の後方回転あり。 中顔面が伸びて下方に落ちる。 中顔面の奥行きを失っている。 頚椎ストレートネック。 重度の首凝り
Posterior rotation of the mandible The midface is elongated and has dropped downward Loss of depth in the midface Cervical spine straightening (straight neck) Severe neck stiffness

AFTER(マウスピース使用時)
整骨後、形成したマウスピースで形と顎関節の前方回転を誘導。上部頸椎のリリースを促進し、自家矯正力が働きやすいように誘導。蝶形骨口蓋縫合と蝶形骨上顎縫合をモビライゼーションし、可動をブーストし中顔面を短縮。
重度の肩凝りも軽減
After the osteopathy, the custom-formed mouthpiece guides the shape and promotes forward rotation of the temporomandibular joint.
It facilitates the release of the upper cervical spine and encourages the body’s natural self-correcting ability.
Mobilization of the sphenopalatine suture and the sphenomaxillary suture boosts mobility and shortens the midface.

口蓋骨の下方変位 下顎位の滑落 ストレートネック 中顔面と人中が伸びて見える
Inferior displacement of the palatine bone Sagging of the mandibular position Straight neck The midface and philtrum appear elongated

AFTER
口蓋骨を上方に整復 下顎位が上がる ストレートネックの改善 中顔面と人中が短縮し小顔に見える
Repositioning the palatine bone upward The mandibular position is elevated Improvement of straight neck The midface and philtrum are shortened, giving the appearance of a smaller face
20代女性 S様 初回効果

BEFORE
下顎の後方回転あり
中顔面が伸びて下方に落ちる
中顔面の奥行きを失っている
頚椎ストレートネック
Posterior rotation of the mandible, elongated and downward-dropped midface, loss of midface depth, and cervical spine straightening (straight neck).

AFTER
咬筋と上部頸椎をリリースさせ、顎の前方回転。
さつま式で中顔面の奥行きを作り、短縮。頸部の前湾角の強化。
Release the masseter and upper cervical spine to achieve forward rotation of the jaw.
Using the Satsuma method, create depth in the midface and shorten it.
Enhance the cervical lordosis angle.

AFTER(マウスピース使用時)
整骨後、形成したマウスピースで形と上部頸椎のリリースを維持蝶形骨の
可動をブーストし顔面骨をアライメントから整顔・整骨。
After the osteopathy, maintain the shape and the release of the upper cervical spine with a custom-formed mouthpiece, and boost the mobility of the sphenoid bone while aligning the facial bones for facial correction and structural adjustment.
20代女性 M様 初回効果

BEFORE
軽度の顎変形症あり。
下顎の後方回転あり。
中顔面が伸びて下方に落ちる。
中顔面の奥行きを失っている。
頚椎ストレートネック。
Mild jaw deformity present.
Posterior rotation of the mandible.
The midface is elongated and has dropped downward.
Loss of depth in the midface.
Cervical spine straightening (straight neck).

AFTER
咬筋と上部頸椎をリリースさせ、顎の前方回転。
さつま式で中顔面の奥行きを作り、短縮。頸部の前湾角の強化。
Release the masseter and upper cervical spine to achieve forward rotation of the jaw.
Using the Satsuma method, create depth in the midface and shorten it.
Enhance the cervical lordosis angle.

AFTER(マウスピース使用時)
整骨後、形成したマウスピースで形と上部頸椎のリリースを維持蝶形骨の
可動をブーストし顔面骨をアライメントから整顔・整骨。
After the osteopathy, the custom-formed mouthpiece maintains the shape and the release of the upper cervical spine, boosts the mobility of the sphenoid bone, and aligns the facial bones for facial correction and structural adjustment.

BEFORE
軽度の顎変形症あり
下顎の左方シフト
頚椎の斜頸
中顔面の滑落
Mild jaw deformity present
Leftward shift of the mandible
Cervical spine torticollis
Sagging of the midface

AFTER
下顎の正中誘導
頚椎の斜頸矯正
中顔面の短縮
Midline correction of the mandible
Correction of cervical spine torticollis
Shortening of the midface